知識・経験豊富な衛生士による安心、安全なホワイトニングを!
歯を白くすると、口元の印象が変わるだけではなく自分に自信が持てるようになり、表情まで明るくなるという方がほとんどです。少しでも歯の色が気になる方は、ぜひ当院へご相談にいらして頂ければと思います。
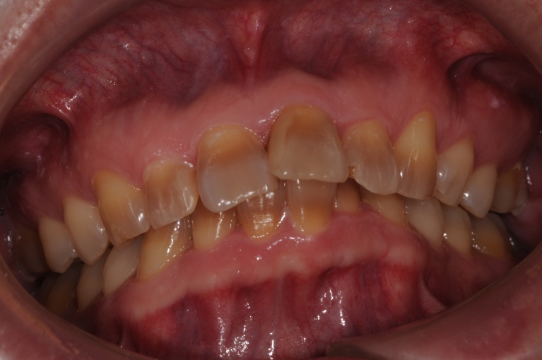
※ホワイトニングで白くできない歯も治療によって白くすることが可能です。
当院でホワイトニングを受けて頂くメリット
事前の丁寧なカウンセリング
ホワイトニングを進めていくにあたり、まずはカウンセリングをしっかりと行うようにしています。患者様がどれくらい歯を白くしたいのかを伺った上で、サンプルをお見せしながらどの方法でホワイトニングを行っていくのかを提案させて頂きます。
お口の健康を考えた上での安心、安全なホワイトニング
美しい歯を手に入れるためには、ただ歯の色を白くすればいいというわけではありません。虫歯や歯周病がなく、きちんと噛み合わせられる機能も揃って、初めて健康的で輝く口元が実現されるのです。当院では常に患者様のお口全体のことを考えて、歯の状態をしっかり確認し、審美治療を行っています。
これまでの欠点を克服(低刺激)
これまでのオフィスホワイトニングでは、高濃度な過酸化水素水を使用していたためしみやすく後戻りもしやすい、刺激が強いという欠点がありましたが、当院では、低刺激で歯にやさしく施術を進めるためこれらの欠点を克服しています。
低価格の実現
多くの皆様にご来院頂き輝く白い歯を手に入れて頂くことを願い、低価格を実現いたしました。ホワイトニング相場20,000円〜50,000円程度の医院が多いところ、当院ではオフィスホワイトニング19,800円〜と大変通って頂きやすいお値段の設定となっております。白さを維持して頂けるようサポートさせて頂きます。
ホワイトニングメニュー
オフィスホワイトニング
当院内で実施するホワイトニングです。当院では、歯にしみにくい低濃度の過酸化水素水を使用し、効果を最大限に引き出す波長と温度のライトを照射します。また、触媒配合アパタイトが含まれていることで、漂白効果をさらに高めています。ホワイトニングは1回およそ最短30分で歯を白くすることができるため、お忙しい方にはぴったりの方法です。
ホームホワイトニング
ご自宅にて患者様自身で行って頂くホワイトニングです。マウストレーをお作りしますので、ご自宅でそのマウスピースに薬剤をつけて、歯に装着して頂きます。当院では3種類の濃度の薬剤をご用意しておりますので、どれくらい白くしたいかに合わせて、決めて頂くことができます。ホームホワイトニングは、ご自宅で続けられますので自分のペースで空き時間に歯を白くしたい方にはぴったりの方法です。
ウォーキングブリーチ
神経を取った歯は黒ずんでしまうことがあり、この場合オフィスホワイトニングやホームホワイトニングでは白くすることができません。そういった方には、歯の中に薬剤を詰めて中から色を白くするウォーキングブリーチが有効です。神経を取った歯も、諦めずに白くしていきましょう。
デュアルホワイトニング
どのくらい歯を白くしたいのかは、一人ひとり違います。もし、目標の白さを実現したいのであれば、デュアルホワイトニング(オフィスホワイトニングとホームホワイトニングの併用)がお勧めです。
施術前
施術後
(約2ヵ月後)来院回数3回
施術前
施術後
(約2ヵ月後)来院回数3回
施術前
施術後
(約3ヵ月後)来院回数3回
テトラサイクリン ※個人差があります。
施術前
施術後
(約6ヵ月後)来院回数6回
テトラサイクリン ※個人差があります。


